手術について
- トップページ
- 手術について
鼠径ヘルニアの手術について
ソケイヘルニア(脱腸)は自然に治ることが少なく、多くの場合で外科的治療(手術)が行われます。
当院では主に「腹腔鏡下鼠径ヘルニア修復術(TAPP法)」という方法を用いています。
腹腔鏡下鼠径ヘルニア修復術
(TAPP法)とは
TAPP法は、お腹に小さな穴を開けて腹腔鏡を挿入し、モニターで観察しながら行う手術方法です。
- 臍部に5mmほどの小さな穴をあけ、腹腔鏡を挿入
- 側腹部に2か所、小さな穴を開け手術器具を挿入
- 腹腔内からヘルニアの部位を観察し、メッシュを用いて補強を行う
この方法では、腹部の内側から観察するため、ヘルニアの大きさや種類、腸管の脱出の有無などを直接確認することが可能です。
手術にかかる時間の目安
| 手術の種類 | 所要時間の目安 |
|---|---|
| 片側のソケイヘルニア(脱腸)手術 | 約45~50分 |
| 両側のソケイヘルニア(脱腸)手術 | 約1時間15分~20分 |
※患者様の状態により、時間は前後する場合があります。
従来法(クーゲル法など)では両側のヘルニアの場合、両側それぞれに約5cmの傷が必要でした。それに対して、TAPP法では腹腔鏡で行うため、両側のヘルニアでも同じ傷のままで修復が可能です。
使用するメッシュについて
手術ではメッシュと呼ばれる医療材料を使用します。
メッシュは柔軟性のある素材で、患部を補強する役割を果たします。
メッシュは行う手術によっても異なります。TAPP法では腹腔鏡で行うため、クーゲル法などの従来の方法に対して非常に薄くしなやかなメッシュを用います。来院時に実際のメッシュをご覧いただけます。
TAPP法に求められる技術
腹腔鏡手術は限られた空間で器具を操作するため、解剖学的な理解や器具操作の習熟が必要とされています。
そのため、外科医による技術的な工夫や丁寧な操作が重要です。
従来法(クーゲル法など)と
TAPP法の違い
従来の方法では、鼠径部を約5cm切開して直接ヘルニアにアプローチしていました(メッシュプラグ法、クーゲル法など)。
一方、TAPP法では腹部に小さな穴を開ける方法を用いるため、以下のような特徴があります。
従来法(クーゲル法など)
- 1下腹部の皮膚を5センチ程度切開して、直接ヘルニアの部分にアプローチします。
- 2ヘルニアの袋を処理し、人工のメッシュ(補強材)を体の外側(前方)からあてて補強します。
- 3全身麻酔でなくても手術が可能です。
ただし、手術部位の腫れや違和感などの回復に時間を要することが多いと言われています。
腹腔鏡下手術(TAPP法)
- 1おへそと両側腹部に小さな穴(5ミリ)を3か所開け、腹腔鏡(カメラ)でお腹の中からヘルニアの部分を観察しながら手術を行います。
- 2ヘルニアの原因となる弱い部分を腹側(内側)からメッシュで補強します。
- 3傷が小さく、術後の鼠径部の腫れや痛みが少なく、回復が早く、両側の観察が可能という利点があります。
- 4全身麻酔が必要ですが、眠っている間に手術は終了します。
この方法では、腹部の内側から観察するため、ヘルニアの大きさや種類、腸管の脱出の有無などを直接確認することが可能です。
手術創とメッシュ
<従来の手術法(クーゲル法)>
| 鼠径部切開法の手術創 (左右それぞれ) |
クーゲル法のメッシュ |
|---|---|
![]() |
![]() |
<当院のTAPP法>
| TAPPの手術創 (左右どちらの場合も同じ) |
TAPP法のメッシュ |
|---|---|
|
|
※来院時に実際のメッシュを見ていただけます。
比較表
| 従来法(クーゲル法など) | 腹腔鏡下手術(TAPP法) | |
|---|---|---|
| 麻酔 | 全身麻酔でなくても可能 | 全身麻酔が必須 |
| 傷の大きさ | 5cmの切開 | 約5mmの穴を3か所 |
| 痛み・回復 | やや痛みが強く、回復に時間 | 痛みが少なく、早期回復 |
| 両側ヘルニア | 片側ずつ5cmの傷が必要 | 同じ傷で両側手術可能 |
| 美容面 | やや傷跡が目立つ | 傷跡が小さく目立たない |
データで見る鼠径ヘルニア(2024年度内訳)
鼠径ヘルニアのやや特殊な病態として鼠径ヘルニア再発や
前立腺癌術後の鼠径ヘルニアや鼠径ヘルニア嵌頓などがあります。
ソケイヘルニア(脱腸)再発は以前に受けられた手術法(主にメッシュを用いている場合)がその後の手術に大きく影響し、ケースバイケースで対応しなければならないため一般的に手術難度が高くなります。
また、前立腺癌に対して前立腺全摘術を受けられている場合にも、前立腺の直上にある膀胱とソケイヘルニア(脱腸)のできる鼠径管が近接しているためにその後のソケイヘルニア(脱腸)の手術に大きく影響を与え、手術難度が高くなる傾向にあります
ソケイヘルニア(脱腸)嵌頓は頻度は高くありませんが、腸閉塞や腸管壊死を併発している場合もあり、単にソケイヘルニア(脱腸)を治すだけでなく、腸閉塞を解除するような緊急手術を要することがあります。
当院ではいずれの場合も基本的に腹腔鏡手術(TAPP法)を行っています。
腹腔鏡下手術(296例)
| 症例分類 | 症例数 | 割合 |
|---|---|---|
| 初発例 | 285 | 93.1% |
| 再発例 | 11 | 3.6% |
| 前立腺癌術後 | 5 | 1.6% |
| 嵌頓(緊急手術) | 5 | 1.6% |
鼠径部切開法(0例)
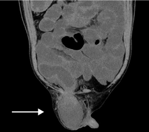
ヘルニア嵌頓
ソケイヘルニア(脱腸)の嵌頓では腸管(主に小腸)や内臓脂肪がヘルニア嚢内に脱出してヘルニア門に挟まれ元に戻らなくなった状態になります。
特に腸管の場合には、腸内の流れが遮断されて腸閉塞になる場合や腸管の血行が遮断されると腸管壊死を起こすことがあります。腸管を切除せざるを得ない場合には治療に時間を要する可能性があります。
腸管を温存できた場合も多くの場合、図のように嵌頓を解除した腸管にダメージを追っており、慎重な術後管理が必要となります。

